Healthy Start Orthodontics System

Healthy Start Orthodontics provided by Smiles Dental, P.C. of Norfolk, NE

Benefits of the Healthy Start Orthodontics System

Prevent rather than Correct.

Healthy Start Orthodontics System is a revolutionary departure from traditional orthodontics. It treats children early, and is a non-invasive, natural way of straightening teeth. It works equal to or better than braces, plastic aligners, surgery, or other options to achieve a picture-perfect, beautiful smile. Dr. Krugman is one of a few doctors in this area trained to offer this innovative new system!

When you choose the Healthy Start Orthodontics System, you experience the following benefits:

More Information

Beautiful Smiles Are Just the Beginning

Sleep Disordered Breathing (SDB) is an all-inclusive term for breathing difficulties, ranging from mild snoring all the to severe airway obstruction during sleep. When your child’s breathing is disrupted, their body recognizes the disruption, much like choking, slowing the heart rate, raising the blood pressure, arousing the brain, and ultimately disrupting sleep. Traditionally, there have been very few answers to treating this problem, but Dr. Krugman is now using Healthy Start Orthodontics System to treat these issues.

Crooked teeth, crowded teeth, or mouth breathing can cause underdevelopment of the mouth and jaw when your child’s nasal and upper airway is constricted. The Healthy Start Orthodontics System works to guide your child’s teeth into their proper position, expanding and fully developing his or her mouth and jaw.

Does it ever sound like a freight train is running through your child’s room at night or when they are asleep in the back seat of the car on the way home from a trip? Loud snoring is one very apparent indication that your child may have Sleep-Disordered Breathing. Gasping and snorting sounds while your child sleeps may catch you off guard or even make you momentarily worry. These sounds stem from your child moving from a deeper sleep to a lighter (towards waking up) and struggling to breathe.

  • ADD/ADHD
  • Bedwetting
  • Chronic Allergies
  • Asthma
  • Mouth Breathing
  • Snoring
  • Swollen
  • Adenoids/Tonsils
  • Frequent Headaches
  • Teeth Grinding
  • Frequently Waking up
  • Excessive Sweating While Asleep
  • Restless Sleep
  • Nightmares
  • Irritability/Aggressive Behavior
  • Difficulty in School Subjects of Math, Science, and Spelling
  • Arrested Growth
  • Daytime Drowsiness
  • Dark Circles under the eyes

Healthy Start Orthodontics System works with the natural forces of tooth eruption. The soft, comfortable, removable devices gently guide the erupting teeth into their perfect positions. In addition, Healthy Start aids in the correct growth and alignment of the lower jaw, expanding the arches to ensure incoming permanent teeth have enough room to erupt in straight, and develop proper oral habits.

Habit-Corrector: The habit-corrector eliminates or improves current oral habits that can damage your child’s dental health. They wear the habit-corrector at night while sleeping. With a design similar to that of a pacifier, your child will become used to wearing a device in his or her mouth every night. This step lasts about 1-5 months.

Second Phase: Your child will get an appliance customized and sized for your child to wear every night. It aids the incoming teeth into their proper places, corrects jaw relations, and expands your child’s arches for the incoming adult teeth. Your child will wear this device for 2-6 months.

Final Phase: The final treatment begins with a device that accommodates incoming adult teeth. It begins when your child has at least 4 permanent teeth. This phase is extremely important because their adult teeth are forming, and the gum tissue fibers are starting to attach to the teeth in the mouth. Healthy Start works perfectly to ensure the teeth erupt into proper alignment.

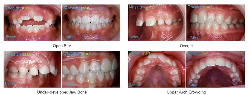
Healthy Start Orthodontics System Results from Real Patients

Before and After Healthy Start

Open-bite corrected with Healthy Start Orthodontics System.
Overbite and overjet corrected with Healthy Start Orthodontics System for Preteens five years post-treatment.

Healthy Start Orthodontics System

Smiles Dental P.C. strives to provide its patients with healthy, beautiful, lasting smiles. Call to schedule your consultation today, and give your child the gift of a Healthy Start!

SureSmile Clear Aligners

If you are looking for a simple, discreet way to straighten your smile, Dr. Kallie Krugman at Smiles Dental P.C. may recommend that you try SureSmile Clear Aligners.